1. Popsicles. We found out that Wal-Mart always has them for $1.00... so I really wasn't getting as great of a deal as I thought I was when I discovered they were 10/$10 at Fry's. Hmph. OH. And, we bought two boxes over the weekend and they put the wrong popsicles in the box that normally have grape, orange and cherry!! They were like fruit punch or something like that... they weren't the same. I threw those out too. I was extremely bummed about this. Don't they know I'm craving GRAPE?! Damn Wal-Mart boxes.
2. FUNYUNS. Ahhh... So good. We bought two bags over the weekend. ;o)
3. Olive Garden's salad and breadsticks. Chad's burnt out on it, so we haven't been there for a while. Babe... what about this weekend? I have good intentions with eating the salad... but then I have to add on about 5 breadsticks and it defeats my good intentions. Oh well... Brynn's getting a few veggies anyway.
4. Grapes. That one just started tonight and we don't have any. I'll wait until the weekend, I don't want to go to the store. Sprouts has the best grapes. YUM.
5. Chocolate milk. It's been making my stomach upset but man, it tastes good.
6. Burger King's cheeseburgers. They aren't even that great but they always sound good at lunch.
That's it for now. Mostly it's just the Popsicles and Funyuns but everything is sounding good to me right now. I'm hungry. It's 10:35pm. This is crazy.
Wednesday, February 28, 2007
Cravings
Posted by Amanda West at 10:26 PM 1 comments
Sunday, February 25, 2007
All sorts of baby stuff
This was a total Brynn-planning weekend.
Holy cow, registering can be complicated. Registering for the wedding was pretty easy but when it comes to registering for a baby, that's a different story. Chad was all excited to use the scanner-gun. ;o) We went to one place yesterday and registered... then we got home and I tried to look at everything online that we had scanned and only one thing showed a picture. That registry is getting deleted when I'm done with this.
1. Brynn's room. EVERYTHING that is out right now is for boys. We found all sorts of blue things that we liked but we didn't really see a whole lot of girly stuff, unless it's ALL PINK. We didn't want all pink, or really really girly... I'm not even really girly. There were lots of things in the "neutral" colors but since we're sure she's a girl, I didn't want the greens and yellows. Chad would have been ok with them... but I wanted something just a little more girly. We ended up finding a ladybug theme at Babies-R-Us that we're both pretty excited about.
2. Bottles and nipples. There are about 50,000 different kinds of each and who knows which kind she's really going to like... so it's kind of hard to buy those ahead of time.
3. Carseats and strollers. This one was easy, we found one of those combo's that we liked a couple weeks ago. Chad didn't have much of a choice, we were going Graco all the way since I worked at Rubbermaid. (They're sister-companies.) My only complaint is that it comes with a tan base but if you want an extra base, it's gray. Weird if you ask me. I'm checking into this a little more.
4. Diapers. Again, there are 50,000 different kinds of these too. Who knows what will really work but for now, we're going to go with Pampers... we have coupons for them.
5. Chad took a picture of me yesterday. So, for all of you who want to see prego Amanda (MOM), here you go!! I lost that one pound I gained. HA. Knock on wood that I keep this up!!
Posted by Amanda West at 3:10 PM 4 comments
Wednesday, February 21, 2007
It's a..................
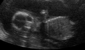
GIRL!!!
So, for the 99.9% of you that thought it was a girl... you were right!! Her name will be Brynn Maye West. Did you notice what her initials will be? We swear, we didn't plan that part. We think Beemer is a cute nickname though!! ;o)
Look... She's waving at you!! You can't really tell but she'll knealing too.
The pictures that we got today weren't the best but we have another ultrasound scheduled for March 22nd and then the 4-D one is scheduled for April 24th. Woo hoo!!
P.S. My belly isn't "cute" yet, that's why Chad and Brenda aren't allowed to take any pictures!! You'll see some eventually...
Posted by Amanda West at 7:10 PM 7 comments
Labels: Bun In The Oven
Tuesday, February 20, 2007
Boy or girl?
Hopefully we'll find out tomorrow!! Chad and I are 50/50... we don't have a clue of what it will be!!
We're 18 weeks today, the baby is now the size of a sweet potato!!
Posted by Amanda West at 8:14 PM 5 comments
Labels: Bun In The Oven
Thursday, February 15, 2007
Sad day today
I had a great day yesterday and a not so great one today.
1. Today is Thursday, not Friday. Atleast it's almost Friday... that's a positive.
2. Condo is still on the market. We dropped the price to $136,900. Any buyers? Maybe I should buy another St Joseph statue or something. Geesh.
3. Grey's Anatomy. If you watch this show, you know what I'm talking about. I bawled. Yeah, I know I'm emotional because I'm pregnant but even if I wasn't pregnant, I would have cried. Oh, and if you aren't into this show... that's sad too because it's a good one.
It's also sad that I'm so addicted to this whole blogging thing... way to go Sam!!
Posted by Amanda West at 9:38 PM 4 comments
Labels: Bun In The Oven, Emotional Mess
Wednesday, February 14, 2007
What a keeper!!
First, Happy Valentines Day to everyone!!
Second, Chad is awesome... the best husband ever. He sent me a dozen roses today at work and totally caught me off guard. They're really pretty and you can smell them when you walk into my office and they came with this really cool red vase that he picked out. (Right Brenda? Oh, and Timmy... Brenda's were awesome too!! We were wondering if you and Chad planned this together? We think they came from the same florist!!)
Third, I get home and we exchange cards then Chad gives me another envelope... it's a gift certificate for one of those 4-D ultrasounds!! For those of you that don't know what it is, it's an ultrasound that makes it seem like you are looking at the real thing. It doesn't look like the "blob" on the ultrasound picture at the bottom of this screen, you can actually see the baby's face (and other things) VERY clearly!! I think he said that we have to do that one when I'm between 22-24 weeks so it will be a little while before we can do it but how cool is that? Totally beats that Taco Bell dinner I brought home for him tonight!!
What a keeper. Way to go match.com!! ;o)
Love you babe!!
Posted by Amanda West at 9:31 PM 3 comments
Labels: Bun In The Oven, My Amazing Hottie Hubby
Tuesday, February 13, 2007
An onion.
The baby is now the size of a large onion, 5 inches long and weighs 5oz. 5 inches doesn't sound very big... but go grab a ruler. That's pretty big. I can't believe that I have something growing inside of me that is 5 inches long! Geesh.
I am 17 weeks today. I can't believe I'm almost halfway done with this pregnancy!! 9 months, or 40 weeks or whatever it will turn out to be sure seems like it goes by fast when there's so much planning to do!! Oh well, I'm a planner. This will keep me busy, especially considering we haven't done anything yet!! That will all begin next Wednesday (hopefully) when we find out the sex!!
Posted by Amanda West at 7:27 PM 5 comments
Labels: Bun In The Oven
Monday, February 12, 2007
Random thoughts, mostly about food.
I got down to the bottom of this and I realized that I wrote you a book. Hope you enjoy the reading!!
So, other than the cost of daycare, I'm really starting to get excited to become a mom. Chad is really really really excited to become a dad!! (Of course, he's not freaking out about the whole daycare thing like I am, that's why he had two extra "really"s on there...)
The whole labor thing still really freaks me out but according to a bunch of crazy moms that I've talked to, they keep telling me that you forget about the pain. Yeah, I really do think they're crazy. Jenn had her baby a week ago and is getting around great (and looks great too!)... hopefully I will be like that.
My only real "craving" that I've been having is for popsicles. Grape ones on a stick, specifically. You know, the ones that come in the box with the cherry and orange ones? Yep, that's them. This has been going on for a week now and I couldn't help myself. I didn't care if I felt AWFUL, like I have been if I eat anything sweet... I had to have some. Well, atleast one. AND, they were a 10/$10.00 special at Fry's over the weekend. I made it a 1/$1.00... our freezer isn't big enough for 10 boxes of these things!! I ate it... and it was AWESOME. So awesome in fact, I had to have a cherry one when I was done with the grape. I stopped there. ;o) I didn't feel so good after two... but it was totally worth the yucky feeling. Ok, I'm done explaining the awesomeness of popsicles... I made you want to go buy some, didn't I? I think the sale ends Wednesday. ;o)
Just incase you have no clue of which popsicles I'm talking about, here is a picture of my obsession. (P.S. Thanks Heidi for teaching Sam and I how to do the picture thing!)
Oh. One other thing is over-medium eggs. Is that weird? I'm not supposed to have them, so of course, I want them. I cheated with those over the weekend and said to Chad that I would be ok and no one would die if I had one egg over medium and one scrambled. I'm still alive and the egg tasted good. He just laughs at me, gives me this cute Chad look and shakes his head. I told him that I don't get why I'm not supposed to have them (and haven't researched this yet) because an egg is a big part of what created this baby that's growing inside of me... you would think that I would be encouraged to eat eggs!! That sounded gross. Sorry!!
Basically the only thing that I've been drinking is water. Occasionally milk or a little bit of chocolate milk, as long as I don't have too much. I'm actually doing ok with the whole only drinking water thing... until I see Chad chugging a big Dr Pepper from Sonic, which by the way, is the best thing ever. I love Sonic's ice. Atleast he's a smarty-pants and tells me that it tastes horrible and that I wouldn't like it anyway. Isn't he great? He's such a keeper. ;o) (P.S. I think he's glad I can't have sweets, this way... he gets the whole Dr Pepper to himself!!)
Ok, I think that's enough talking about food... Time for me to go, I need to get a popsicle!! (And a Pepcid.)
Posted by Amanda West at 7:30 PM 8 comments
Labels: Bun In The Oven
Wednesday, February 7, 2007
Appointment today...
Everything went well. We were able to hear the heartbeat loud and clear this time, so that was cool. I asked about me not being able to eat anything sweet and she said that lots of people are like that and that I should just avoid sweets. (It's not that easy...) Everything was normal. I've gained a total of.... one pound. Whew. I like that. I do need to start eating better though. We'll start tomorrow. ;o)
Next appointment is on the 21st, we have an ultrasound scheduled. Two weeks to go!!
Posted by Amanda West at 4:38 PM 1 comments
Saturday, February 3, 2007
Babies!!
Out of all of my pregnant Arizona friends, I'm the only one left!!
Amy delivered Connor, Briney delivered Maya, and Jenn just delivered Luke yesterday!!
YAY!!
Posted by Amanda West at 9:02 AM 0 comments


